上側裏側矯正(不正咬合)|症例紹介|沖縄県浦添市の矯正歯科

Case

2024.11.14

裏側矯正

上側裏側矯正(不正咬合)

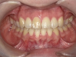
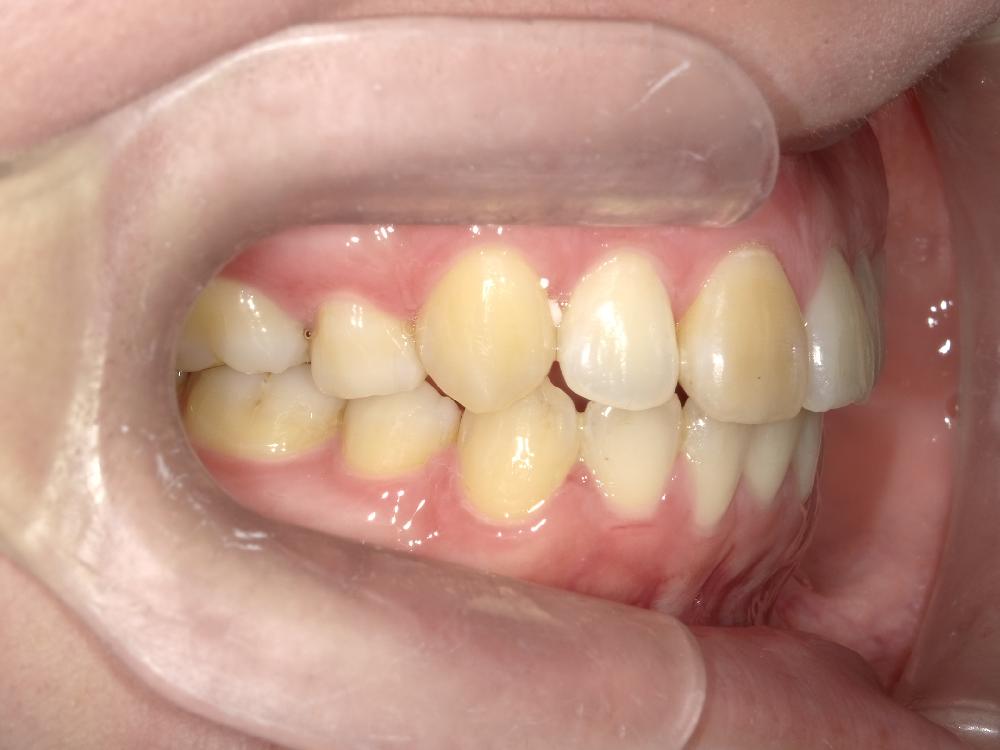
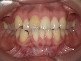
正面治療前
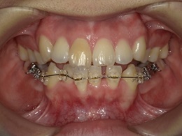
正面治療中
正面治療後
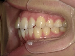
治療前左側
治療中左側
治療後左側
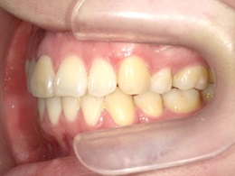
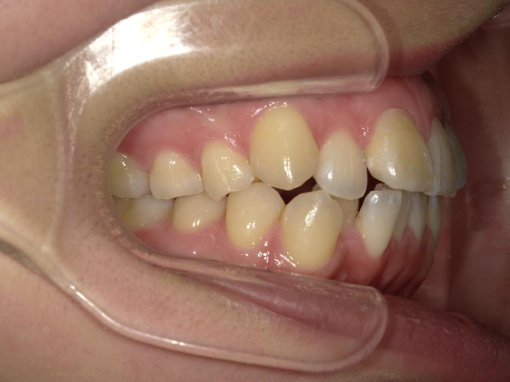
右側治療前
右側治療中
右側治療後
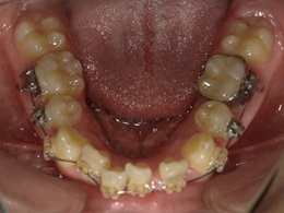
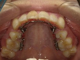
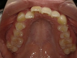
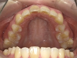
上顎治療前
上顎治療中
上顎治療後
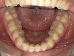
治療前下顎
治療中下顎
治療後下顎

正面治療前

正面治療中

正面治療後

治療費 825,000 円(税込)

矯正方法 裏側矯正

治療期間2年8か月

目的咬合、叢生の改善

抜歯あり

性別女性

年齢10代

リスク・副作用歯の移動による痛み、装置が当たることによる口内炎
ブラッシング不良による虫歯リスクの増加
abcdefghijklm

※治療期間、治療費、治療結果は患者様の口腔内や来院状況により異なります。