上下裏側矯正|症例紹介|沖縄県浦添市の矯正歯科

Case

2026.01.27

裏側矯正

上下裏側矯正

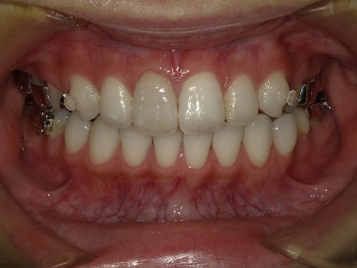
治療中正面
治療後正面
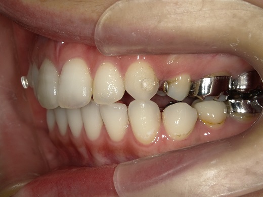
治療前左側
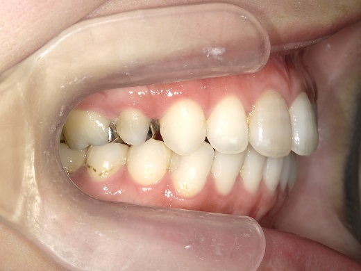
治療中左側
治療後左側
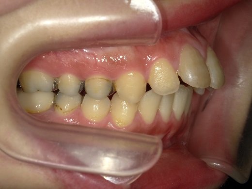
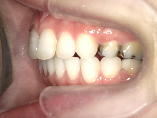
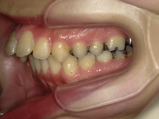
治療前右側
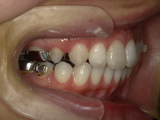
治療中右側
治療後右側
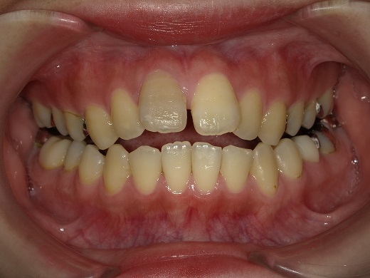
治療前正面
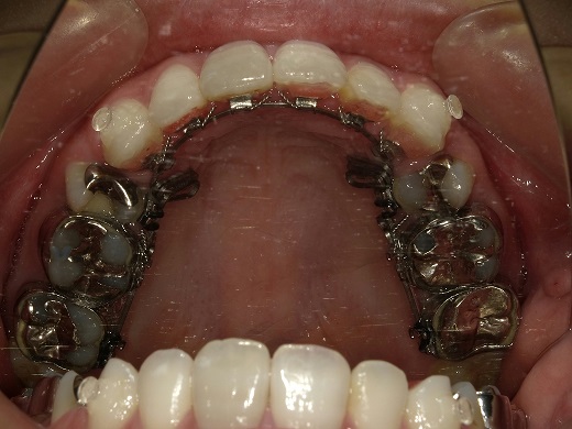
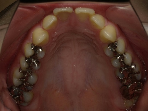
治療前上顎
治療後上顎
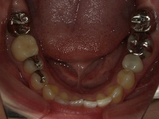
治療前下顎
治療中下顎
治療後下顎

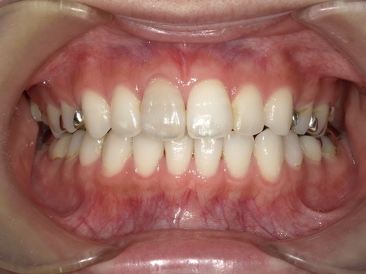
治療中正面

治療後正面

治療費 935,000 円(税込) ※2026年1月の値段です

矯正方法 裏側矯正

治療期間3年1か月

目的叢生の改善

抜歯あり

性別女性

年齢30代

リスク・副作用一時的な歯の痛みや不快感
歯肉炎や虫歯のリスク増加(適切なケアが必要)
装置による口内炎や傷
治療後の後戻り(保定装置が必要)
ごく稀に、歯根吸収や顎関節の不調

※治療期間、治療費、治療結果は患者様の口腔内や来院状況により異なります。