上側裏側矯正(不正咬合)|症例紹介|沖縄県浦添市の矯正歯科

Case

2024.11.14

裏側矯正

上側裏側矯正(不正咬合)

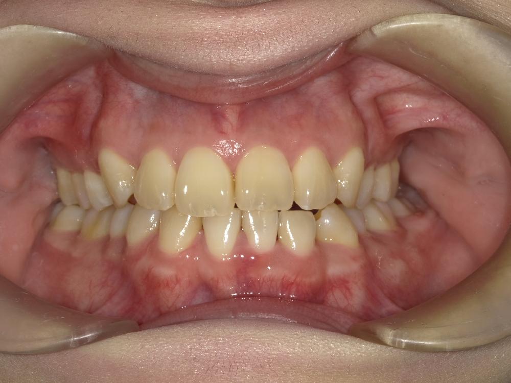
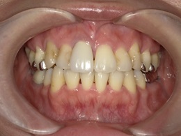
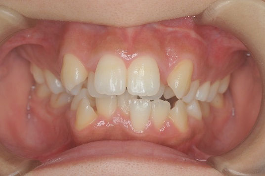
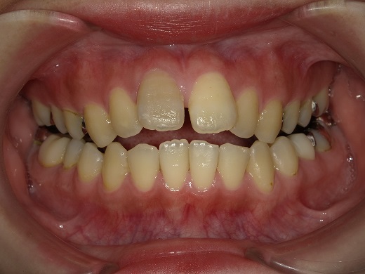
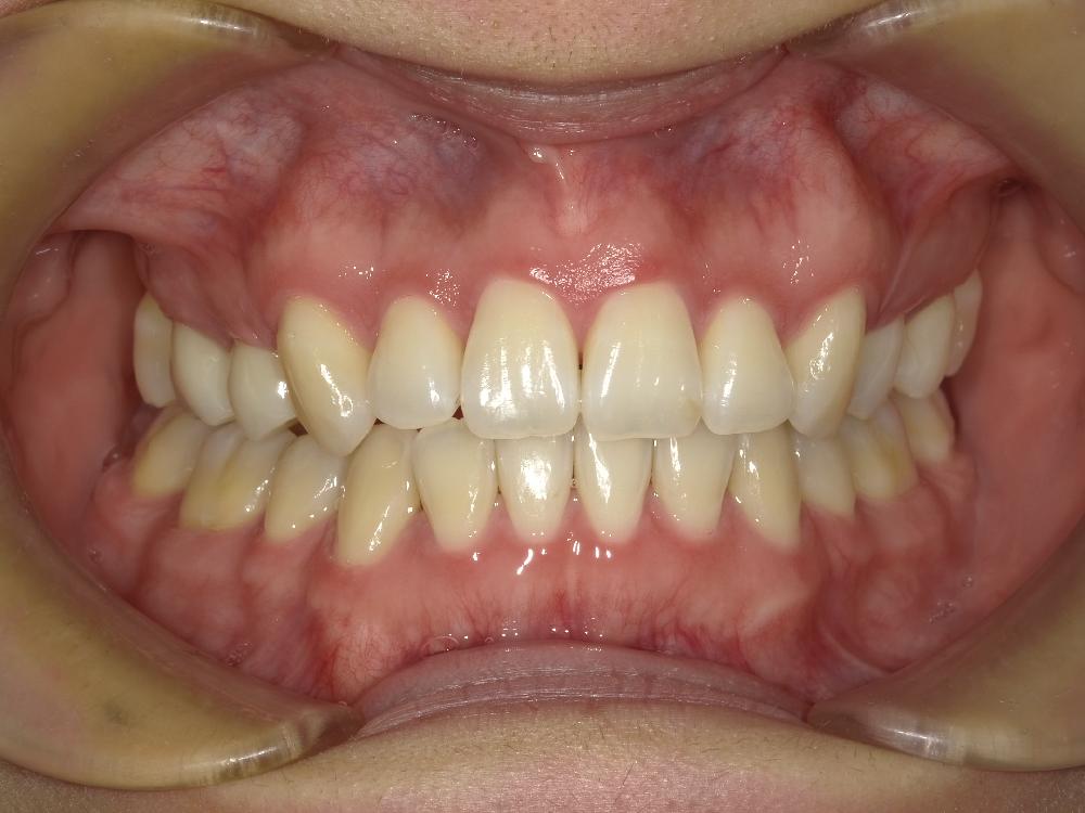
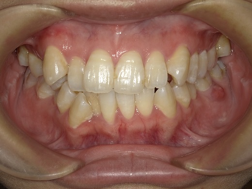
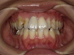
治療前正面
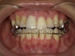
治療中正面
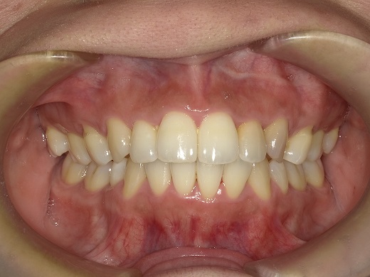
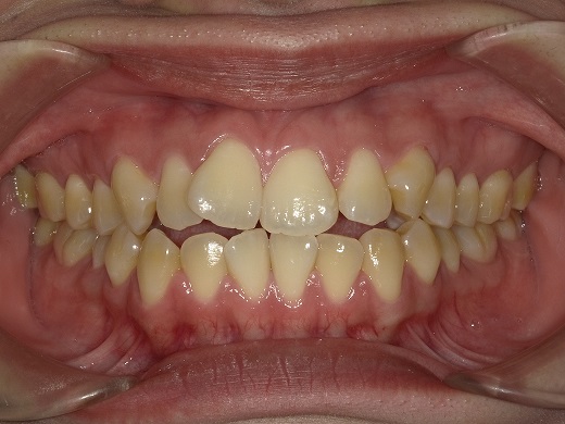
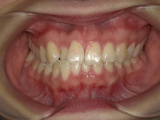
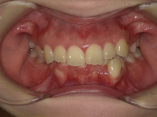
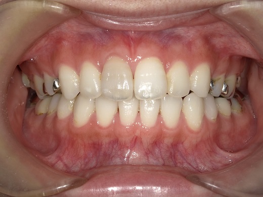
治療後正面
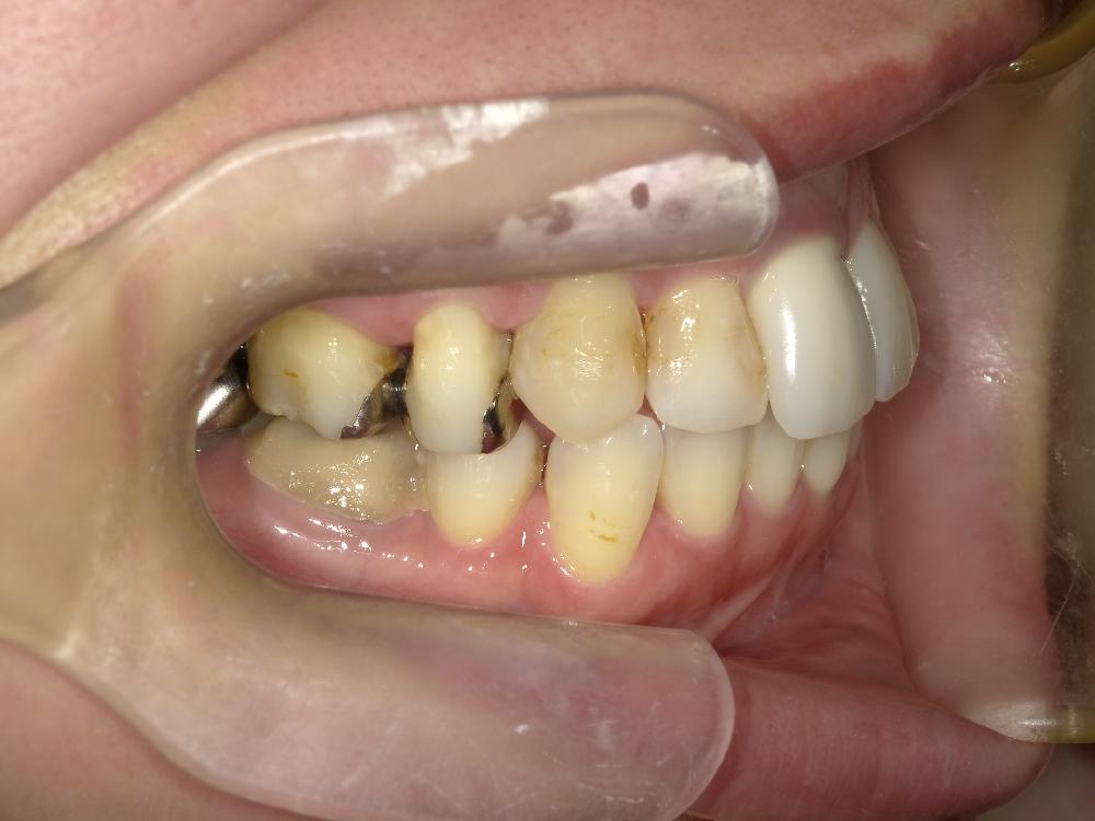
治療前左側
治療中左側
治療後左側
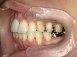
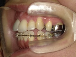
右側治療前
右側治療中
右側治療後
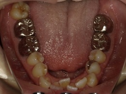
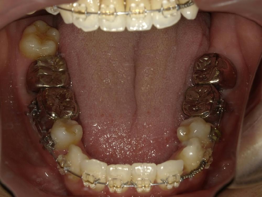
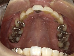
上顎治療前
上顎治療中
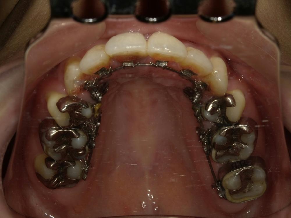
上顎治療後
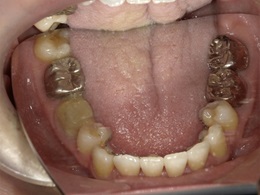
下顎治療前
下顎治療中
下顎治療後

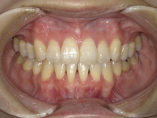
治療前正面

治療中正面

治療後正面

治療費 825,000 円(税込)

矯正方法 裏側矯正

治療期間3年10か月

目的叢生、不正咬合の改善

抜歯あり

性別女性

年齢20代

リスク・副作用一時的な歯の痛みや不快感
歯肉炎や虫歯のリスク増加(適切なケアが必要)
装置による口内炎や傷
治療後の後戻り(保定装置の装着が必要)
ごく稀に、歯根吸収や顎関節の不調

※治療期間、治療費、治療結果は患者様の口腔内や来院状況により異なります。